【美品】非抜歯・床矯正・Pooによる顎態調和法 非抜歯・床矯正・Pooによる顎態調和法 - メルカリ
(4413件)
Pontaパス特典
サンキュー配送
10091円(税込)
101ポイント(1%)
Pontaパス会員ならさらに+1%ポイント還元!
送料
(
)
4402
配送情報
お届け予定日:2026.04.27 6:6までにお届け
※一部地域・離島につきましては、表示のお届け予定日期間内にお届けできない場合があります。
ロットナンバー
4147188315
お買い物の前にチェック!
Pontaパス会員なら
ポイント+1%
ポイント+1%
商品説明






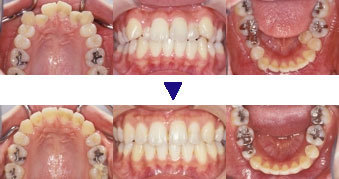
ご覧いただきありがとうございます。\r\r非抜歯矯正に関する専門的なガイドブック。\r\r- タイトル: 非抜歯・床矯正・Pooによる顎態調和法\r- 著者: 荻原和彦\r- 出版社: 第一歯科出版\r- 出版年: 2001年\r- ISBN: 978-4-925318-03-3\r- 発行日: 平成13年9月10日\r\r【商品状態】\r特筆する痛み・折れなどはありません。\r中は問題なく読める状態です。\rマーカー記入はありません。\rタバコ、ペットなしの部屋で保管していました。\r確認を行いましたが、その他の書き込み等の見落としがあるかもしれませんご了承の上、ご購入下さい。\r\r【発送に関して】\r送料無料の匿名配送で対応致します。\r\r【注意事項】\r個人保管の中古品です。\r使用感は人によって感じ方に差があります。\r神経質な方のご購入はお控え下さい。\r購入後のクレームは対応しかねます。\r上記をご理解頂ける方のご購入をお願いします。\r\r【その他】\r喫煙者&ペットはなしの環境で管理しています。\r商品撮影は昼夜問わず白色電灯下で行います。
| カテゴリー: | 本・雑誌・漫画>>>本>>>健康・医学 |
|---|---|
| 商品の状態: | 目立った傷や汚れなし","細かな使用感・傷・汚れはあるが、目立たない |
| 配送料の負担: | 送料込み(出品者負担) |
| 配送の方法: | 佐川急便/日本郵便 |
| 発送元の地域: | 大阪府 |
| 発送までの日数: | 1~2日で発送 |
レビュー
商品の評価:




4.4点(4413件)
- ウルトラチーズ
- 娘のバレエのお勉強のために購入しました。とても可愛い絵本で子供も読みやすかったようです。
- Takakohime
- イラストが大きくボリュームがあり、 電車が走っているスピード感もあって 毎日抱え込んで楽しそうに読んでいます。 特に遮断機は家中響き渡る声で 「かーんかーんかーん!」と読んでいます。
- 3Kmama
- 知り合いへの出産祝いに購入。 シンプルな絵と言葉ですが 可愛いです! 自身の子ども用にも買えば良かったと 思いました。
- ゴンタ4378
- りぼんでちびまる子ちゃんの付録など 楽しみにしていた私です。 このシールは目からウロコのような 子供の頃のワクワク感を思い出します。 けっこう使えるシールも多いです。 かわいいシールがいっぱいですよ。
- ケロさち
- まだ届いてないので(8月7日着)何とも言えませんが、喜んでくれると思います
- もかたそまま
- もうすこし、ページ数とシールの枚数が多いほうがよかったな。むすこがひょいひょいやると、ものの30分もかからず、全ページ終わってしまう、、、コスパが良くない。
- miyukita5343
- この方の他のシリーズをよんで(ウサギの机作成&ころりんころりん)長女がとてもきにいっていたので購入しました。予想どおり気に入ったようでよかったです。 私も読んでいて「え?ここで終わりじゃないの?」と先走ってしまったんですが最後はほっとします。
- 生井きなこ
- まだ届いてないので(8月7日着)何とも言えませんが、、、喜んでもらえるとうれしいです。
- かおりりんごごりら
- 子どもたちのクリスマスプレゼントです。みんなで楽しんで読んでくれるといいなと思います。
- KOKO0717
- 荒井良二さんの本が大好きで購入しました。題名そのまま、とにかくCUTEですね。話の内容も絵も、こんなかわいらしい絵本はなかなか無いと思います。
- waka0519
- 安西水丸の絵本がお気に入りの子供のために。 とても気に入って何度も読まされます。 おすすめです。
- miiiyutan
- 子供が楽しくページをめくっています。イラストが可愛いのでほかのも揃えたいです。
- MK_Blendy
- 読み始めると、文章が大体(もい)ばっかりだからかすぐ違う絵本読んでと持ってきます笑 でも絵がカラフルでいつも手にもって持ってくるので好きなのかな?
すべて見る
お店の情報
7,367
連絡・応対
4.3
配送スピード
4.3
梱包
4.3










